El tiempo por Tutiempo.net
El tiempo por Tutiempo.net

Hallan momia egipcia, a煤n conserva su cerebro y sus 贸rganos internos馃摳

Investigadores encontraron tres momias de las cuales solo una tenía todavía restos del cerebro así como también otro de sus órganos internos.
 

Por: Redacci贸n 12 Noviembre 2020 11 37

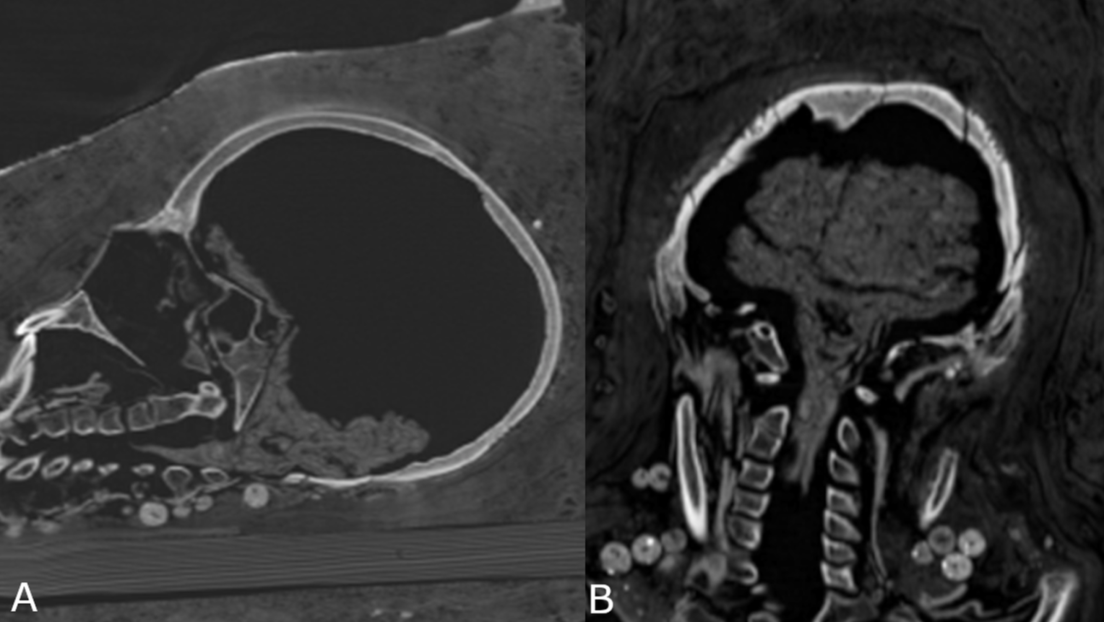
Mediante análisis de tomografía computerizada, lograron obtener información sobre el estado de conservación de los cuerpos, la técnica usada , la edad de los individuos en el momento de la muerte, así como su género, altura y salud.

Las momias, corresponden a un hombre adulto, mujer de mediana edad y otra mujer joven, son las únicas cubiertas de estuco que se han encontrado en la antigua necrópolis de Saqqara, a 30 km de El Cairo, Egipto. 

"Investigaciones radiológicas revelaron que algunas no mostraban evidencia de extirpación del cerebro y de los intestinos”, dijo Stephanie Zesch, investigador principal del estudio.
Consideró el hallazgo como prueba del cambio de técnicas aplicadas en el tratamiento corporal previo a la momificación.

Los expertos indicaron que la momificación de estos tres cadáveres fue diferente a como lo hacían anteriormente ya que antes les extirpaban los órganos y en este caso los cuerpos fueron colocados sobre tablas de madera antes de ser envueltos en tela, yeso y oro, añadiendo en la superficie un retrato de cuerpo entero.


Las Más Leídas